Page

Projects

The ORCHID dataset project image

The ORCHID dataset

The ORal Cancer Histology Dataset: A comprehensive histopathology dataset for ML in Oral Cancer grade and stage detection.

Oral Cancer Classifier project image

Oral Cancer Classifier

Grade-level classification of oral squamous cell carcinoma from histopathology using deep-learning algorithms.

CODA-TB DREAM project image

CODA-TB DREAM

We participated in a DREAM challenge to use audio recordings of cough to diagnose the presence of Tuberculosos in a patient.

Animal Tracking project image

Animal Tracking

Tracking positional movement of Wild-type Zebrafish (Danio Rerio) to examine behavioural patterns using Computer Vision.

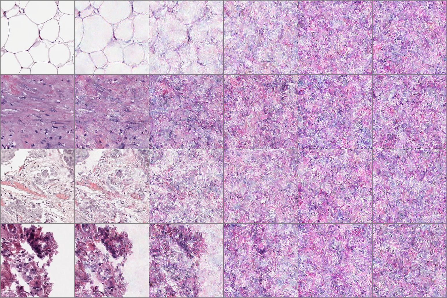
Improved Latent Diffusion Models project image

Improved Latent Diffusion Models

Improving text-conditioned latent diffusion models for breast cancer histopathology in a large scale cohort.